
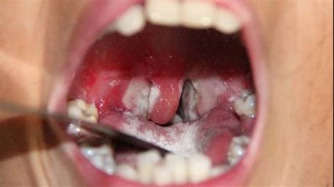
أفادت مصادر محلية ان سبعة أشخاص توفوا ببلدية تناها بمقاطعة كنكوصة في ولاية العصابة، وذلك جراء إصابتهم بمرض يرجح أنه الدفتيريا، فيما أصيب أكثر من 70 آخرين.
كما أكدت المصادر عدم تسجيل حالات جديدة في يومي الجمعة والسبت، مشيرا إلى أن من أخذوا الدواء تماثلوا للشفاء.
القسم:


.jpg)



